Is Gallbladder Wall Thickening Dangerous

This may be caused due to several reasons, of which the most rampant one is a gallstone in the duct that connects the gallbladder to the hepatic duct, also known as the cystic duct.

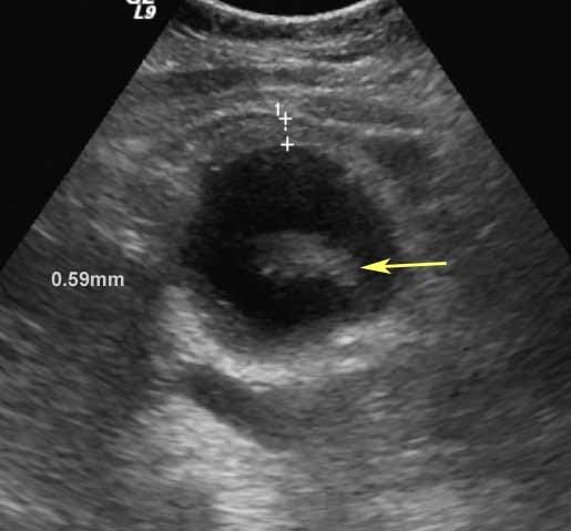
Is Gallbladder Wall Thickening Dangerous. Thickening of the gallbladder wall is a relatively frequent finding at diagnostic imaging studies. Thickening of the gallbladder wall can be seen on the ultrasound as well and usually is a result of inflammation.

Ultrasound gallbladder-diffuse gallbladder wall thickening ...
Ultrasound gallbladder-diffuse gallbladder wall thickening ... from www.researchgate.net
It is possible that advice given here may be dangerous, and you should make your own checks that it is safe. Both hematuria and thickening of the bladder wall can be vague symptoms, but symptoms of something that needs to be discovered, either way. I have multiplt stones with mild wall thickening of gallbkadder.surgeon asked me to get operated soon.can i take homeopathy meds to get rid of the prblm.

The gallbladder is a small sac that holds bile, a digestive juice produced by the liver that is used in the breakdown of dietary fats.

The wall of your bladder is thickening if you have bladder wall thickening. Is surgery required for distended gallbladder. The gallbladder holds a digestive fluid called bile that's released into your small intestine. The surgeon views the gallbladder on a.