Is Thickening Of The Bowel Wall Serious

A lot of doctors will recommend that pregnant women and people with bowel problems opt for the squat method as it eases the pressure diverticulosis is a condition in which small pouches form in the walls of the colon.

Is Thickening Of The Bowel Wall Serious. Kindly explain what is moderate thickening of the bowel wall at the level of the sigmoid and the rectosigmoid junction. And clinical features must be evaluated together in.

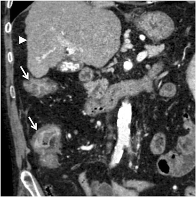
Small bowel wall thickening: MDCTevaluation in the ...
Small bowel wall thickening: MDCTevaluation in the ... from www.researchgate.net
The bowels of sth definition: Inflammation due to urinary tract. A/ an inguinal hernia is the protrusion of a small loop of bowel through a weak place in the lower abdominal wall or groin.

Small bowel wall thickening patterns on ct.

Bowel wall thickening, the main sonographic correlate of bowel disorders, seems at rst glance a very nonspecic sign, which may explain why inexperienced investigators do not feel condent in the sonographic evaluation of the gastrointestinal tract. A/ an inguinal hernia is the protrusion of a small loop of bowel through a weak place in the lower abdominal wall or groin. Bowel wall thickening, the main sonographic correlate of bowel disorders, seems at rst glance a very nonspecic sign, which may explain why inexperienced investigators do not feel condent in the sonographic evaluation of the gastrointestinal tract. Small bowel acute appendicitis bowel wall terminal ileum ileocecal valve.