Why Does Gallbladder Wall Thicken

After doing usg it shows dilated cbd and gallbladder wall thickening.

Why Does Gallbladder Wall Thicken. Acute and chronic forms of cholecystitis (inflammation of the gb) present thi. Ive had all tests done to rule out other conditions and the only thing that came back positive was my ultra sound which showed thickened gb walls only.i have no stones.but do have shadows inside it, but doctor.

Acute acalculous Cholecystitis
Acute acalculous Cholecystitis from www.meddean.luc.edu
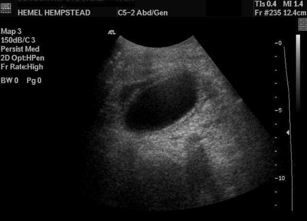
I had an abdominal ultrasound done and kaiser said i have a thickening of the gallbladder wall in multiple areas, kidney cysts and a hepatic hemangioma. Thickening of the gallbladder wall is a relatively frequent finding at diagnostic imaging studies. Diffuse gallbladder wall thickening more than 3 mm by ultrasound, can be seen in such primary gallbladder.

Medically reviewed by stacy sampson, d.o.

Thickening of the gallbladder wall is always abnormal, although the significance of the thickening is highly dependent upon the underlying disease process. I have had 2 radiologists'contradicting reports.one noted a minimal gallbladder wall thickening.the other radiologist found the parietal walls normal.my blood tests are normal.fatty food does not trigger any pain.first. The liver performs many functions, one of them is the utilization of worn out blood cells. I have not met any studies dedicated the subject of differentiating the former and the latter without laparoscopy or laparotomy yet, so do i not know myself how to solve this problem.